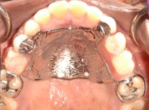
PARTIAL OBJECT
My bridgework becomes me, everyone says, but will it ever
Become me? Fitted betwixt the last of
What was once an upper row. It has been brought
Into existence so recently! My gums making whatever
Impression they could muster in the dental clay
Pressed into that queer metal horseshoe; whereas
I assumed my being ages ago, though it does seem only
Yesterday that I was obliged, whatever I might want,
To wear a brace designed to rescue me from a buck-toothed
Rabbit slant, while at the same time pushing out the jaw.
Once installed, it sagely scuppered speech.
“Put it in!” would shut me up effectively. Only
Wore the thing at night, and here I am, a little left me,
Fitting my “look” in by day. Not quite the share
That cleaves the turf, turning over the rich clod, that it was,
My bite. I hesitate to go ploughing through a lunch.
Not only that, a gap in the clouds prompts us all
To set off on a walk. We cross the park, stroll along the canal
And then enjoy the marshes where willow merges with willow
On a humid afternoon, and it turns out I can’t pronounce Corot.
THE LOST KISS
The kiss is a bygone reality, though most of me
May still be here. At the foreground of intimacy
I have become a cyborg. Earlier on, there was my thumb;
That at least was mine, unlike these travesties.
I recall the unconscionable betrayal of the dark
Dug that began it all; how I saw it exiled
On her breast as I grew estranged out of my toddle.
When our lips connect, all I want is you in there:
You in my mouth as I am in yours
When you agree to my tongue.
There is something prophylactic about a denture, I’m afraid,
Very much afraid of what’s next in an abstract way.
The little beast comes loaded with intimations, which
It intimates from its glass; first thing it does in the morning.
Last thing it does at night, when I unhook myself.
IMPLANTS
Drugged up to the nines,
From the bridge he occupies
He should be staring out at space,
But mouthless green aliens
Have his station covered.
They use a language of numbers
And block his view of the stars,
Yet it’s as if he didn’t care,
Can only do as they expect
As they clamp a hatch apart below.
Weightless, he’s been tilted
Almost upside-down
For jointed things to work on him.
He senses he’s being
Altered – made correct.
Will he be an alien,
Once finally transformed?
Their drills rotate and grind
As he leaves his sad, old
And toothless world behind.
TRIM
And today it’s a ball that I am
In the hands of Islam.
Caring hands, they fuss
Around the dorsal carapace.
This artist does his thing
As I lose my Leonardo look.
Admittedly it didn’t work.
This is not the Renaissance,
As I can tell by a glance
Into the mirror’s mirror now.
Perhaps a little bit more.
Off at the back? I think so, yes.
Giving him my new smile,
I doff my nape. He does precisely
What I suggest, shows me
Again. I nod this time.
He removes my gown
And tissue collar and I rise
To go, at the rate for an O.A P.,
Out onto Tottenham High Street,
Admiring what I see of me
In Peacocks’ window, quick
To pull my stomach in,
Look as if I were truly slim
And ten years younger than I am,
Curling a disdainful lip
At the doleful crew I overtake
With a certain bounce to my step.



